


2月19日,东南大学附属中大医院心血管内科主任马根山教授团队,借助经导管人工肺动脉瓣膜系统,为一位肺动脉瓣反流的患者李女士(化姓)成功完成国内首例经颈静脉入路肺动脉瓣置换术。术后,该患者胸闷气短等症状得到了显著改善,该手术也是江苏省首例经导管肺动脉瓣置换术。

马根山教授(左一)带领团队为患者手术
据介绍,该名患者为47岁女性,17年前曾因肺动脉瓣狭窄行外科手术治疗。五年前,患者开始突发心悸,自觉心跳节律不规整,有时会持续1-2小时,伴有活动后胸闷、气喘,有时还会恶心呕吐,每到夜间更是无法平卧睡觉,难受极了。为了解决心中的烦恼,李女士慕名来到东南大学附属中大医院心血管内科寻求帮助。
中大医院心血管内科主任马根山教授了解患者的情况后,结合相关检查结果,考虑李女士的症状是因继发肺动脉瓣中重度反流而引起的。在进行了充分的沟通交流后,心血管内科马根山主任医师、丁建东主任医师、张晓黎副主任医师、徐荣丰主治医师、丁秀霞医师等医护团队,决定为其施行经导管肺动脉瓣置换术。

患者术后肺动脉瓣反流得到显著改善
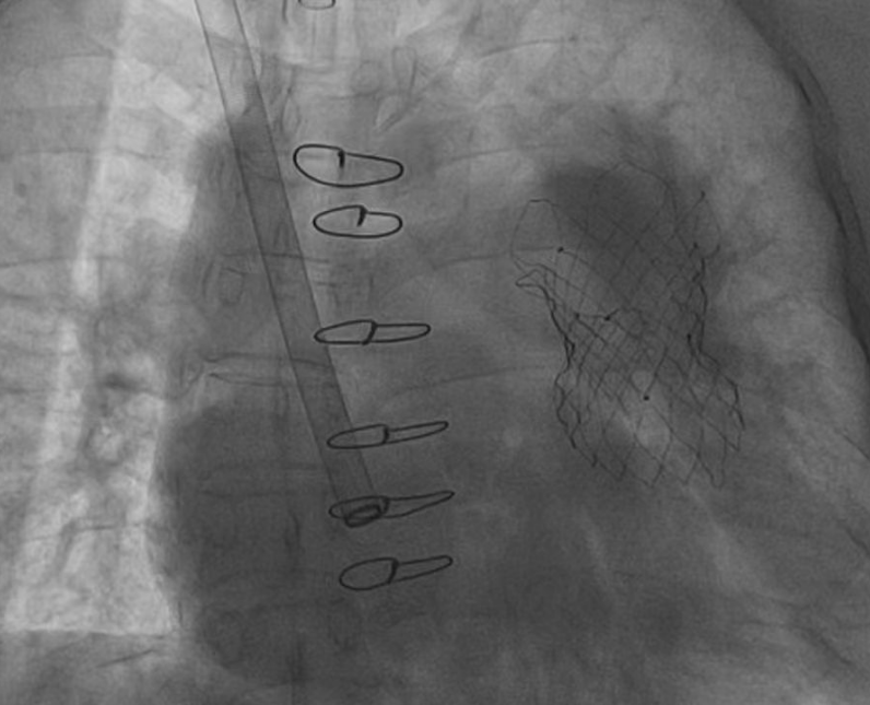
由于患者存在下腔静脉肝段缺失,因此此次手术选择经颈静脉入路。中大医院麻醉科陆新健主治医师为患者麻醉后,马根山教授带领团队穿刺颈静脉,送入超硬导丝,经上腔静脉建立通路后送入顺应性球囊,打起球囊后进行测量,接着根据测量选择对应型号的瓣膜,沿超硬导丝送入输送器,送至肺动脉分叉处开始释放瓣膜,释放完成后位置准确,形态良好。术后超声显示几乎无瓣周漏,血流动力学稳定,瓣膜支架形态良好,肺动脉瓣反流得到显著改善,手术圆满成功。

国内首例经颈静脉入路肺动脉瓣置换术成功完成
马根山教授介绍,一直以来,很多进行过肺动脉矫治手术的复杂先心病患者,在外科术后会出现肺动脉瓣反流,严重影响生活质量和预期寿命,而国外已有的球扩式肺动脉瓣膜无法完全适合我国患者的解剖结构。因此,由中国自主研发的创新器械经导管人工肺动脉瓣膜系统的出现,为很多难以耐受多次开胸的患者带来了更安全、有效的治疗方法,同时也带来了新的希望,相信未来还会造福更多患者。(王倩 程守勤)